Neumonía: Enfermedad principalmente de origen infeccioso que afecta a las unidades de intercambio gaseoso del pulmon es decir, los alveolos. Puede ser desde un grado leve que amerite solamente antibioticos por vía oral y manejo en casa hasta ser muy serias al grado de amenazar la vida siendo imprescindible el tratamiento en una terapia intensiva. Los agentes causales más comunes son: streptococo pneumoniae, Mycoplasma Pneumoniae, Chlamydia Pneumoniae, Haemophylus Influenzae, entre otros. Los síntomas son fiebre, tos con expectoración, dolor torácico y dificultad respiratoria.

Asma: Es una enfermedad inflamatoria, crónica, en donde una multitud de células intervienen en su desarrollo y la mayoría de las veces es desencadenada por polvos, humos y otros alergenos. Se caracteriza por ser reversible incluso de manera espontánea. Los sintomas son broncoespasmo (resuello, pillido, sibilancias, asesido) tos escasamente productiva y disnea (falta de aire). En nuestros días no está justificado que algun paciente esté descontrolado dado el arsenal farmacéutico con el que contamos.

EPOC (Enfermedad Pulmonar Obstructiva Crónica): Ésta enfermedad está catalogada como la 4° causa de muerte a nivel mundial en el 2020. El principal factor de riesgo es el tabaco, sin embargo la exposición ocupacional a humos, polvos y otros compuestos a largo plazo pueden ocasionarla. Se caracteriza por pérdida progresiva e irreversible de la función pulmonar. Los síntomas son falta de aire progresiva en años, tos con expectoración blanquecina o amarillenta con o sin pérdida de peso.

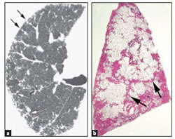
Enfermedades del Intersticio Pulmonar: El intersticio del pulmón es el tejido de sostén del órgano. Está formado por colágena y otras proteínas indispensables para la arquitectura. Una gran cantidad de agentes inhalados, enfermedades inflamatorias y medicamentos son capaces de dañar sus componentes y así interferir en la función primordial del pulmón, que es el intercambio de Oxígeno ambiental por el Dióxido de Carbono eliminado por nuestro cuerpo. Los síntomas principales son la falta de aire, tos seca, perdida de peso y disminución del oxígeno de la sangre.

Enfermedades ocupacionales con afectación respiratoria: Un número limitado de sustancias que se encuentran en el ambiente son generadoras de procesos inflamatorios de las vías aéreas y en los pulmones. Entre las más comunes están el Asma Laboral, las neumoconiosis por carbón, por metales pesados, por arena sílica y por asbesto. Se recomienda ampliamente que los pacientes en riesgo sean valorados anualmente con pruebas de función respiratoria.

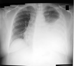
Cáncer Pulmonar: Desgraciadamente es una de las principales causas de mortalidad en nuestros tiempos. La relación ditrecta con el tabaco ha hecho que las campañas publicitarias de cigarrillos disminuyan su intensidad de propaganda en los medios masivos de comunicación. Los tumores originados primariamente en el pulmón son el carcinoma epidermoide, el carcinoma de células pequeñas, el adenocarcinoma y el carcinoma de células grandes, siendo los dos primeros los que guardan relación estrecha con el tabaquismo. Los datos de sospecha son: expectoración sanguinolenta, pérdida de peso, derrame pleural, tos y falta de aire con imagen radiológica compatible.

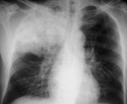
Derrame pleural: El liquido pleural es un fluido filtrado del plasma sanguíneo que se encarga de amortiguar los movimientos respiratorios entre las pleuras parietal y visceral (envoltorio del pulmón). La acumulación anormal es debido a la falta de drenaje, a la disminución de las proteínas de la sangre, a la falla cardiaca, a la falla renal, la falla hepática, las infecciones pulmonares, entre otros. Los síntomas principales son: dificultad respiratoria y dolor con la respiración en un costado o en la espalda.

Trastornos Respiratorios del Sueño: El SAOS (Síndrome de Apnea Obstructiva del Sueño) es el prototipo de este grupo de enfermedades. Se caracteriza por obstrucción intermitente de la vía aérea superior, justo detrás y debajo de la lengua que ocasiona despertares no conscientes y activación de sustancias de estrés en el cuerpo. Los síntomas son ronquido intenso, somnolencia diurna, cese transitorio de la respiración durante el sueño.

Hipertensión Pulmonar: padecimiento cada vez más frecuente por la conciencia que se ha creado en el personal médico para diagnosticarla y buscarla intencionadamente. Es una elevación anormal de la presión de la arteria pulmonar como consecuencia de una gran cantidad de enfermedades respiratorias, cardiacas, trombóticas e inflamatorias. Los síntomas principales sin la falta de aire, desmayos, tos seca y fatiga importante.

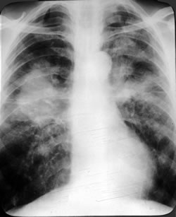
Tuberculosis Pulmonar: Causada por el Mycobacterium Tuberculosis, un gérmen agresivo que destruye el pulmón de manera lenta en la mayoría de las veces. El tratamiento disponible en nuestro país es excelente y eficaz, pero es el único por lo que el apego terapéutico es primordial. Los sintomas son: tos con expectoracion verdosa con o sin huellas de sangre, pérdida de peso, fiebres y sudoraciones vespertinas/nocturnas.

Fibrosis Quística: Enfermedad genética consistente en un defecto en la función de los canales del Cloro en el cuerpo humano. Se hereda necesariamente de la información proveída por AMBOS padres hacia el producto. Se caracteriza por infecciones de las vías respiratorias bajas y neumonías frecuentes desde temprana edad, tos con expectoración abundante y verdosa, retraso del crecimiento, diarreas fétidas y dificultad respiratoria.

Tromboembolia Pulmonar: Se caracteriza por la formación de un coágulo que ocluye el riego sanguíneo de los pulmones que proviene de alguna parte del cuerpo, mas comúnmente de los miembros inferiores. Esto en los casos más severos puede ocasional fracaso del corazón derecho. Los síntomas son aparición súbita de dificultad respiratoria, baja de oxigeno en la sangre, taquicardia y ocasionalmente dolor en el tórax.

Vasculitis Pulmonar: Es una inflamación de los vasos sanguíneos del pulmón secundario a enfermedades sistémicas también de origen inflamatorio. Se caracteriza por dificultad respiratoria rápidamente progresiva, hemorragia pulmonar y baja de oxígeno en la sangre.
